Trypanosoma
(tri-pan″ŏ-sō-mă )
To hear audio pronunciation of this topic, purchase a subscription or log in.[Gr. trypanon, borer + Gr. sōma, a body]
A genus of parasitic, flagellate protozoa found in the blood of many vertebrates, including humans. The protozoa are transmitted by insect vectors. The only two species relevant for disease in humans are T. brucei and T. cruzi.
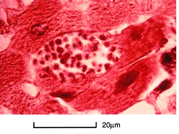
TRYPANOSOMA CRUZI (Orig. mag. × 1000)
TRYPANOSOMA (center) IN BLOOD (Orig. mag. ×1000)
There's more to see -- the rest of this topic is available only to subscribers.



Taber's Medical Dictionary