angiography
(an″jē-og′ră-fē )
[ angio- + -graphy ]
1. A description of the cylindrical channel inside blood vessels or lymphatics.
2. Diagnostic or therapeutic radiography of the internal structures of the heart and blood vessels. Angiography highlights these structures with flowing contrast media. Types include magnetic resonance angiography, interventional radiology, and computed tomography.
PATIENT CARE
Before the procedure: health care professionals explain to the patient how a needle or catheter will be used to penetrate a blood vessel, and that a contrast agent will be injected into it to highlight or map the course of the vessel and any abnormalities in it or associated with it. These abnormalities may include widenings and weaknesses in the blood vessels (aneurysms); narrowings of the vessel (stenoses or obstructions); abnormal connections between arteries and veins (fistulae); or unusual networks of vessels (arteriovenous malformations or in some cases, the complex blood supply of malignant tumors). Complications of angiography include damage to the blood vessel or neighboring tissues, bleeding or bruising, cardiac arrhythmias, syncope, infection, or, in very rare instances, death. These potential complications should be fully reviewed with the patient during the informed consent that precedes the procedure.
During the procedure: the patient’s heart rate and rhythm are closely monitored, along with his or her blood pressure, oxygenation, mental status, and in critically ill patients, urinary output. During the injection of contrast material, the patient may experience a hot flush, palpitations, or other unusual sensations. These sensations should be explained to the patient before they occur to minimize anxiety. Anxiolytics or sedatives may sometimes be administered to patients as needed.
After the procedure: the puncture site is tamponaded and bandaged and then monitored for signs of bleeding or bruising. The part of the body distal to the puncture site is periodically assessed for pulse, color, warmth, sensation, and movement. The patient is permitted to be ambulatory only after the puncture site is stabilized and institutional protocols are completed.
3. Recording of arterial pulse movements with a sphygmograph.
angiographic (an″jē-ŏ-graf′ik ), adj.
angiographically, adv.
aortic angiography
Angiography of the aorta and its branches.
cardiac angiography
Angiography of the heart and coronary arteries.
cardiac computed tomographic angiography
Angiography for the determination of visible blockages in the coronary arteries with noninvasive CT scanning instead of coronary catheterization.
catheter angiography
Angiography performed after a small tube is placed in a blood vessel and a contrast medium is injected to outline the internal structure of the blood vessel.
cerebral angiography
Angiography of the vascular system of the brain.
coronary angiography
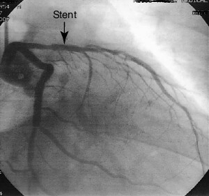
Angiography of the coronary arteries to determine any pathological obstructions to blood flow to the heart muscle. It is used to provide definitive images of the coronary arteries that reveal atherosclerotic blockage to blood flow so that those blockages can be surgically bypassed, opened, e.g., with angioplasty or stenting, or treated with medications.
CORONARY ANGIOGRAPHY A. tight stenosis; B. artery reopened with a stent
CT pulmonary angiography
Angiography to assess a patient suspected of having a pulmonary embolism. It is the best contemporary test for such an assessment. The test uses computed tomographic imaging of the pulmonary arteries to identify blood clots in the right ventricular outflow tracts or the pulmonary arteries. The presence of a clot indicates the need for treatment with anticoagulant drugs. It is used as the preferred alternative to invasive pulmonary angiography (which is accurate but requires right ventricular catheterization), or to ventilation/perfusion scanning of the lungs (which often yields indeterminate results).Potential hazards of the test include radiation exposure, risk for renal failure (esp. in patients with predisposing conditions for kidney injury), and the risk of allergy to the radiological contrast agent used in the test.
digital subtraction angiography
Angiography to investigate arterial blood circulation. A reference image is obtained by fluoroscopy. Then a contrast medium is injected intravenously. Another image is produced from the fluoroscopic image, after which the computer technique subtracts the image produced by surrounding tissues. The third image is an enhanced view of the arteries.
extremity angiography
intravenous fluorescein angiography
ABBR: IVFA Angiography to evaluate the vascular status of the retina and choroid. Fluorescein dye is injected into an arm vein and sequential photographs are taken of the fundus as the dye circulates at different time intervals.
INTRAVENOUS FLUORESCEIN ANGIOGRAM (Courtesy of Christine Chung, M.D.)
magnetic resonance angiography
ABBR: MRA Noninvasive angiography by magnetic resonance imaging. The technique does not expose patients to ionizing radiation and avoids catheterization of the vessels. It has been used to study aneurysms, blockages, and other diseases of the carotid, coronary, femoral, iliac, and renal arteries. Studies may be done with or without contrast agents.
peripheral angiography
Angiography in which radiopaque contrast is injected into arteries in the arms, legs, feet, or hands and is used to identify blocks to normal blood flow, injuries to arteries, or blood vessel malformations.
SYN: SEE: extremity angiography; SEE: extremity arteriography; SEE: peripheral arteriography
PHI-motion angiography
A laser imaging test to identify abnormal blood vessels in the choroidal layer beneath the retina. These abnormal vessels may leak, causing central visual field loss in patients with age-related macular degeneration.
provocative angiography
Angiography following the administration of an agent that promotes bleeding or blocks blood clotting. The procedure is used to identify blood vessels that bleed intermittently.It can increase the risk of significant hemorrhage.
pulmonary angiography
Angiography of the pulmonary vessels, e.g., in the diagnosis of pulmonary embolism.
radionuclide angiography
ABBR: RNA Angiography that uses radioactive isotopes to make pictures of the heart as it beats.
selective angiography
Angiography in which a catheter is introduced directly into the vessel to be visualized.



Taber's Medical Dictionary